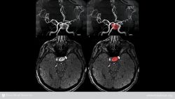
Peripheral Vascular Disease
Peripheral vascular disease (PVD) involves damage to or blockage in the blood vessels distant from your heart—the peripheral arteries and veins.
Your peripheral arteries and veins carry blood to and from your arm and leg muscles and the organs in and below your stomach area. PVD may also affect the arteries leading to your head (see Carotid Artery Disease). When PVD affects only the arteries and not the veins, it is called peripheral arterial disease (PAD). The main forms that PVD may take include blood clots (for example, deep vein thrombosis or DVT), swelling (inflammation), or narrowing and blockage of the blood vessels.
Diseases of the arteries may lead to
- Arterial blockage (including peripheral artery disease or PAD)
- Aortic aneurysms
- Buerger’s Disease
- Raynaud’s Phenomenon
Disease of the veins may lead to
- Venous blood clots (including deep vein thrombosis or DVT)
- Pulmonary embolism
- Phlebitis
- Varicose veins
Learn More in our Video Education Library


Arterial blockage
Much like the coronary arteries, the peripheral arteries can be blocked by plaque. PVD can result from a condition known as atherosclerosis, where a waxy substance forms inside of the arteries. This substance is called plaque. When enough plaque builds up on the inside of an artery, the artery becomes clogged, and blood flow is slowed or stopped. This slowed blood flow may cause “ischemia,” which means that your body’s cells are not getting enough oxygen. Clogged peripheral arteries in the lower part of the body (also referred to as peripheral artery disease or PAD) most often cause pain and cramping in the legs. The risk factors for atherosclerosis in the peripheral arteries are the same as those for atherosclerosis in the coronary arteries. Smoking, diabetes, high blood pressure, and high cholesterol are believed to lead to the development of plaque.
Aortic aneurysms
An aneurysm is a balloon-like bulge in the wall of a weakened blood vessel. If the bulging stretches the vessel wall too far, the vessel may burst. The aorta is the artery that carries blood from the heart to the rest of the body. An aneurysm in the aorta is called an aortic aneurysm. You can die if an aneurysm causes this main artery to burst and it is not treated in time. An aortic aneurysm may be located in your chest (thoracic aneurysm), but most are located below the kidneys in the lower stomach area (abdominal aneurysms).
Buerger’s Disease
Buerger’s disease is related to smoking. The disease causes swelling of the small and medium-sized arteries (and sometimes the veins) in your feet and legs. This rare disorder, which causes the peripheral vessels to tighten or constrict, is more common in men, especially smokers aged 20 to 40. Smoking causes the blood vessels to tighten in everyone who smokes. But in people with Buerger’s disease, there is so much tightening in the vessels that a lack of oxygen to the cells (ischemia) or tissue death (necrosis) may result. The symptoms may be different for everyone, but the condition most often causes tender, swollen areas over the vessels, followed by coldness of the feet and hands. Pain in the legs during walking (called intermittent claudication) may happen because of an arterial blockage. The most serious cases sometimes cause the tissue to die, and amputation of the fingers and toes may be needed. People with Buerger’s disease must stop smoking completely, and circulation usually improves soon after.
Raynaud’s Phenomenon
Raynaud’s phenomenon happens more often in women. It is a circulation disorder that causes the arteries in the fingers and toes to tighten or spasm when they are exposed to cold temperatures, smoking, or emotional stress. Often, the cause of Raynaud’s phenomenon is not known. Sometimes, it is a side effect of other conditions, such as connective tissue disease, trauma, or diseases of the glands or central nervous system. People with the disorder may feel numbness or tingling in their fingers and toes. They may also notice that their skin turns pale or blue, followed by reddening in the affected areas. Attacks may last from a few minutes to several hours and are usually treated with gradual warming of the fingers and toes to restore blood flow. Therapy may also include pain relievers, calcium channel blockers, quitting smoking, and avoiding cold temperatures and emotional upset.
Venous blood clots
Nearly 6 million Americans have a blood clot in their veins (also called venous thrombus, venous thrombosis, or vein thrombosis). When the clot develops in a vein deep within the leg, it is called deep vein thrombosis (DVT). The condition can be life threatening if the clot breaks loose from the vein and travels to the lungs, where it can completely block blood flow.
Pulmonary embolism
Pulmonary embolism is caused by a blood clot (pulmonary embolus) that breaks loose from where it formed in a vein and travels to your lungs. Pulmonary embolism may have no symptoms, so it can cause sudden, unexpected death. When symptoms do happen, they may include
- Chest pain, especially when you breathe in
- Shortness of breath
- Coughing up blood
- Dizziness
- Fainting
Phlebitis
There are two forms of phlebitis. The most common form is swelling of a vein near the skin’s surface, usually in the leg. This is called superficial phlebitis. Swelling of the veins inside the leg is less common but more serious. This is called deep phlebitis. For superficial phlebitis, the area looks reddish and feels painful. The pain of this condition can usually be treated with moist heat, aspirin, or anti-inflammatory medicines. The more dangerous form of phlebitis, deep phlebitis, usually causes greater pain. People with deep phlebitis tend to have a fever. Nuclear scans, venous Doppler flow studies, or the use of a blood pressure cuff around the leg to measure blood flow (plethysmography) will usually confirm if the deep veins are involved. This type of phlebitis is more likely to lead to blood clots in the veins and a possible blood clot in the lungs (pulmonary embolus). If you are diagnosed with deep phlebitis, doctors will usually give you a week-long treatment with a blood-thinning, or anticoagulant, medicine. During this time, doctors will also check for signs of blood clots in your lungs. Your doctor will probably give you an anticoagulant in pill-form to be taken longer-term.
Varicose veins
Varicose veins are swollen, purple veins in the legs that are visible under your skin. They are caused by damage to blood vessels close to the surface of your skin, slowed blood flow, or the damage or absence of normal valves in your veins. Normally, blood flow in the veins is aided by valves, which keep the blood moving upward, against the force of gravity. If these valves are weak or blood flows slowly in the veins, the blood may pool and cause the veins to bulge. Varicose veins are more common in women than in men. The condition also runs in families. Pregnant women may get varicose veins because of hormonal changes and the extra pressure that the baby puts on the lower-stomach area. Varicose veins may also be caused by being severely overweight or by standing for long periods.

