Interested in our Core Lab Services?
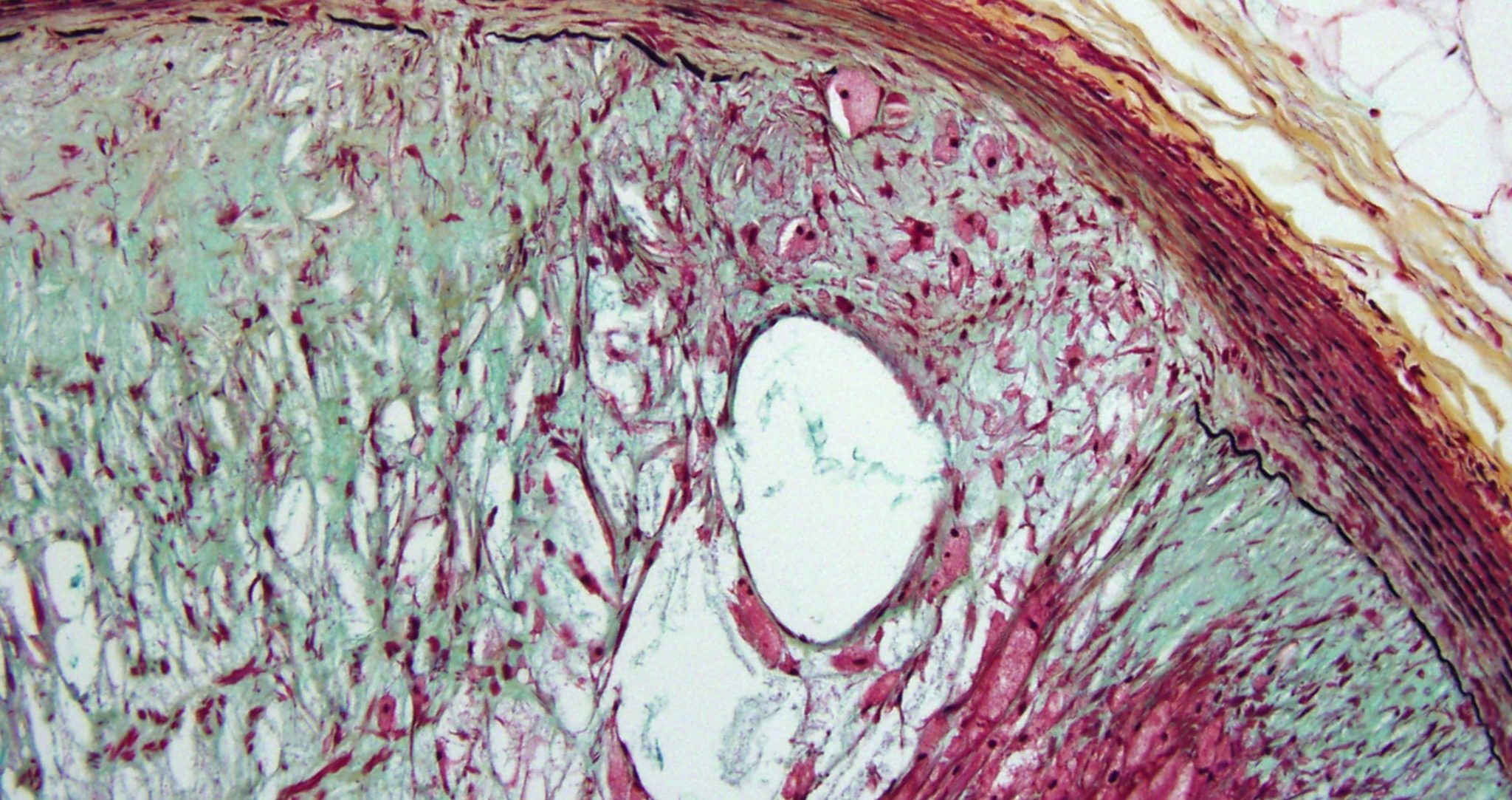
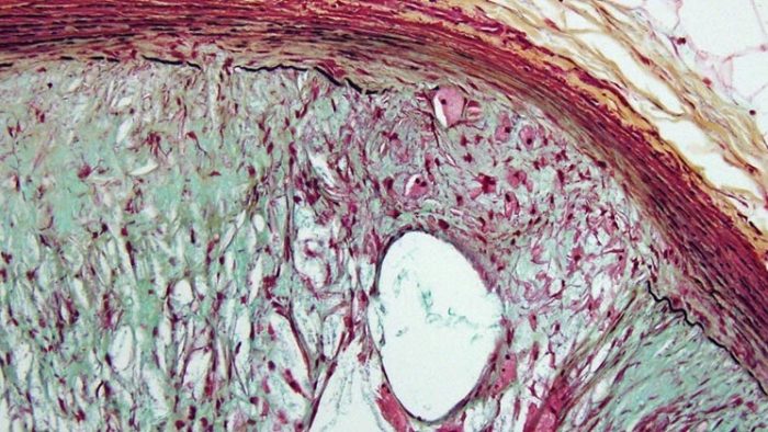
As a vital part of the Institute’s overall cardiovascular research team, THI’s cardiovascular pathologists work to provide researchers with critical information they need to progress their studies forward.
Contact us:
Pamela Potts, Administrative Director
Email: ppotts@texasheart.org
Phone: (832) 355-6524

